전국 치과 기공소 지도 정보
공공데이터포털 '지방행정인허가 데이터개방 '치과기공소', 카카오 '로그인, 지도, 블로그, 검색(이미지)', 네이버 '블로그, 검색(이미지)', Google 로그인', 카카오 '로그인, 지도, 블로그, 검색(이미지)', 네이버 '블로그, 검색(이미지)', Google 로그인 이용하여 개발되었습니다
버전 : 2 / 2025-01-05 15:25:36
굿스마일 치과기공소 50644 경상남도 양산시 동면 내송2길 3, 1층 2025-03-17 이로운치과기공소 043-900-2804 28327 충청북도 청주시 청원구 공항로150번길 133, 2층 (율량동) 2025-03-17...
전국 사업자, 업체,업종별, 주소, 전화번호 영업 DB(20250501)
안녕하세요 더이로운치과병원 전봉균 대표원장 입니다. 치과기공소를 직접 운영하는 곳들도 있던데 이런 곳은 어떤 이점이 있나요? 저희 병원에 오시는 환자분들이 치과기공소는 무엇이냐고 여쭤보시곤 해요....
양산시 병원급 의료기관, 더이로운치과병원.(20250912)
메이플라워치과기공소 세종특별자치시 고운서길 14, 금화빌딩 504호 (고운동) 044-866-5611 다온 치과기공소 세종특별자치시 금남면 용포로 113, 4층 044-868-2879 디디피치과기공소 세종특별자치시...
전문직 개인사업자 법인카드(20250514)
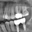
초지역수면마취 기술의 발전과 함께 치과 치료의 질이 더욱 향상될 것으로 기대됩니다. 환자와 치과의사 모두에게 이로운 환경이 조성되기를 바랍니다. 초지역수면마취치과 내부기공소로 빠르게 식립이 가능해
건강한 삶의 비결(20241227)
아직 저희 서울이로운치과가 많이 알려지지 않았을것이고 내일부터 주변에 저희 병원 개원을 알려야... 대명기공소 박정봉 소장님 내 일처럼 성심껏 일해주시고 원장의 무리한 요구에들에도 기분좋게 일해주신...
서울이로운치과 성북동 한성대입구(20220116)
더이로운치과병원을 소개해드릴께요 많이 기다리 셨죠? 드뎌 오픈 했어요~♡ 제가 더 떨리고 기대되고... 전문기공소를 보유하고 있는 치과답게 더욱 빠르고 정확한 피드백으로 만족도가 높은 결과...
호놀룰루(20180904)
제일치과기공소 충청남도 계룡시 엄사면 번영로 42 042)841-2879 예덴치과기공소 충청남도 공주시 가구점길 16 (중동) 041-858-5804 라인치과기공소 충청남도 공주시 국고개길 54 (옥룡동)...
전문직 개인사업자 법인카드(20250514)
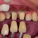
10년 이상 협업 중인 디지털 기공소와 함께 모든 케이스를 정밀하게 제작합니다. 즉, 보험이 적용되는 경우라도 기성 어버트먼트를 사용하는 일은 없습니다.이로운치과 임플란트 왜 이렇게까지...
이로운 이로 삶을 이롭게, 원주 이로운치과의원(20250616)
더이로운 치과기공센터 경상남도 양산시 상북면 대성1길 3, 1층 호원치과기공소 경상남도 양산시 상북면 충렬로 515 055-386-2804 예손치과기공소 경상남도 양산시 서일동로 39 (중부동) 362-9605...
전문직 개인사업자 법인카드(20250514)
임플란트 하나를 심더라도 최선을 다하는 원주 혁신도시, 관설동 이로운치과 입니다. 오늘은... 전문 기공소와 협업하여 심미적이고 기능적인 치아를 제작하는 데 최선을 다하고 있습니다. 인싸력이...
이로운 이로 삶을 이롭게, 원주 이로운치과의원(20240315)
등록된 리뷰가 없습니다.
첨부파일